"什麼情况,發生什麼了?我是社區主任。"一個中年男人撥開人群走進去,映入眼簾的是一個躺在地上的瘦弱女子,面色蠟黃、頭髮乾枯,社區主任連忙打了120,將小七送到了醫院。
這個人,社區主任認識,是3單元1004家的閨女小七(化名),前幾天剛離婚回家,他連忙打電話通知了家人。

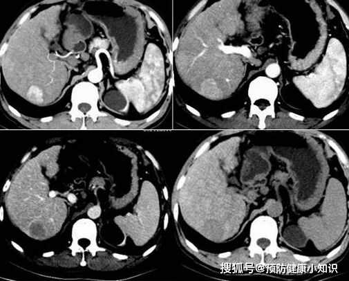
經過一系列檢查,小七被查出了肝癌,而且已經是晚期,癌細胞已經擴散,剛趕來的父母聽到以後,一下就癱坐在地上。
唉聲哭到,怎麼會這樣,俺閨女好好的身體怎麼能被查出肝癌呢?之後小七給醫生講解了自己的悲慘遭遇,醫生聽完後怒吼:這一家人,簡直畜生不如!

遠嫁女子被婆婆一個月30次"727"
1.(7)
小七自從結婚以後,老公(小亮)整個人就變了,變得懦弱、媽寶、沒有主見,在家裡根本就沒有話語權。而婆婆又比較強勢,看見長得漂亮的小七,就慫恿兒子讓小七做"全職太太",不要讓小七抛頭露面。
之後每週的7天裏,小七每天都要做家務,每天都有做不完的家務,即使哪天做完了,婆婆也會製造一些麻煩。而小亮知道後不僅不幫著小七說話,還會埋怨小七不尊重母親。

2.(2)
小七每天幾乎就吃2頓飯,因為老公上班的地方比較遠,婆婆擔心小亮吃外賣對身體不好,就讓小七做完飯給小亮送去。而小七經常來不及吃飯就去送飯,還要看著小亮吃完,把碗帶回家刷。
長期不吃午飯,只吃2頓飯,小七的腸胃逐漸不適,消化功能减弱時,油脂、蛋白質等會新增肝臟的負擔,後來每天,小七幾乎都要吃腸胃藥。

3.(7)
在身體、心理的長期摧殘下,小七養成了喝酒的習慣,經常晚上幹完活,就獨自坐在客廳喝點酒再睡,一周7天皆是如此。
然而酒精對肝臟的危害非常大,不僅會新增肝臟的代謝、分解負擔,而且產生的乙醛,還會對肝臟細胞造成傷害,新增肝細胞癌變的幾率。
在這樣的生活下,小七面臨崩潰了,終於對小亮提出了離婚,誰知剛離婚就被查出了肝癌,就連社區主任對小亮一家都恨得咬牙切齒。

為什麼小七在沒有徵兆的情况下,會被查出肝癌?
因為肝臟屬於沒有感覺神經的器官,它發生病變的時候,早期的一些症狀很難被發現,即使被發現也很難引起重視。
肝臟作為我們的代謝器官,發生病變以後,膽紅素、毒素、雜質等不能被有效代謝分解,會淤積在皮膚,出現皮膚發黃、長痘、長斑的現象。
肝臟還是我們的合成器官,肝功能下降會導致膽鹼酯酶、膽汁等不能被合成,導致出現身體乏力、精神萎靡、消化不良的現象。
所以平時在出現這些早期症狀時,需要及時就醫檢查,並且通過合理治療、改善生活飲食,避免肝病持續惡化。

若想養肝,我們應該做好1件事
1.多運動
若想保護肝臟健康,平時就需要堅持運動,而且儘量控制好運動量,不要過量運動,儘量選擇比較適合自己的管道。
選擇有氧、緩慢的運動都比較不錯,不過肝病患者以及年紀大的人,儘量不要劇烈運動。
