我们都知道肝脏作为人体中最大的脏器,人体的解毒、代谢、造血等都是由肝脏负责,一旦受损,就会极大的影响人体健康。

今年28岁的刘女士,从大学毕业后,就一直在深圳打工,自己租了一间标间住,为了可以多存一些钱,经常自己做饭吃。
在上个月的时候,刘女士经常饭后出现腹痛的情况,刚开始还以为是消化不良引起的,买了些消食片也没在意。
可是过了一个多星期,还是经常饭后腹痛,于是刘女士就趁着休息日,去医院进行检查。

医生通过化验单,发现刘女士的转氨酶与甲胎蛋白都高于正常数值,已经高达468ng/ml,于是又为刘女士做了肝脏CT。
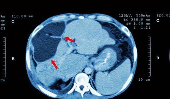
医生通过CT影像,发现刘女士的肝脏上已经出现了5cm大小的肿块,进一步检查确定为肝病。
刘女士在得到确定结果后,很是震惊,自己年纪轻轻的怎么会患上肝病呢?于是找到医生,想要知道自己患上肝病的原因。

医生通过与刘女士的交谈,为王女士找到了病变的病因。
原来王女士长期吃一个小店里出售自制酱油的,这些自制的酱油,因为少了一些必要的添加剂,保质期很短的,而作为调味料,又吃不了多少,时间一久就变质了 ,并且私人小作坊,没有监管,制作的过程中不时尚,也很容易沾上脏东西、毒素等,这或许是肝脏病变的原因。

医生提醒:炒菜爱放这种调料,损害肝脏
自制酱油
酱油是使用黄豆发酵而制成的,私人自制的时候,因为卫生条件以及制作工艺达不到地方要求,其中非常容易沾染毒素,并且保质期也极短。
自制的酱油因为使用的是天然的米曲霉菌种,在制作的过程中,酱油中非常容易沾染“黄曲霉毒素”,这是一种对肝脏有极强致病效果的毒素。
若是长期食用这些含有毒素的酱油,就会损害肝脏细胞,诱发肝脏病变,生活中,一定要购买正规厂家生产的酱油,不要购买私人制作的酱油。其实不只是酱油,任何东西都是,尽量购买安全一点的,我们自己没办法了解详细制作过程,尽量购买正规厂商出厂的。

医生提醒:生活中这2种食物,也含有致病物,尽量别吃
1、咸菜
咸菜属于腌制食物,许多家庭为了保存吃不完的萝卜,都会做成咸菜,可以长久的存放食用,却不知,咸菜中也是会含有致病物质。
咸菜在腌制的过程中,会生出致病物质“亚硝酸盐”,这是一种2A类致病物质,摄入人体后,会极大的损害肝脏健康,诱发病变。

2、烤肉
许多人都喜欢吃烤肉,对于烤肉散发出的美味无法抵挡,却不知,烤肉并不属于健康的食物,也是含有对肝脏有损的致病物质。
肉类食物中的脂肪,在烧烤的过程中会发生化学反应,生成苯并芘,这是一种被世界卫生组织列为1级致病物的物质,摄入人体后损害肝脏细胞,诱发病变。

医生提醒:6个肝脏受损的信号
1、眼睛干涩,眼白发黄;
2、面色晦暗,脸色长斑;
3、腹胀腹泻,消化不良;
4、口臭异常,有腐烂味;
5、脾气不稳,暴躁易怒;
6、经常困乏,失眠多梦;

提醒:肝不好的人,每天坚持2点,可恢复肝功能
1、补充养肝营养素

2、多吃胡萝卜
胡萝卜营养丰富且益于肝脏代谢、分解,可以有效减轻肝脏运行负担。
胡萝卜其中含有的维生素A以及纤维素,能够帮助肝脏排出体内堆积的脂肪以及毒素。
对于肝不好的人,日常可以多吃一些胡萝卜,来减少肝脏内堆积的脂肪和毒素,减轻肝脏运行负担,美丽肝脏。

参考文献:
【1】2018-夏培文-当代医学 血清肝纤维化指标在慢性肝病诊断中的应用
【2】2023-刘凤斌-肝胆病杂志 92例药物性肝病患者临床特征分析