中老年人懷疑急性腦血管病,一般首先做急診CT,目的有兩個:一是明確有無腦出血;二是觀察有無急性腦梗死的徵象,同時排除有無腦腫瘤等其他情况。
腦出血和腦梗死,治療原則是完全不同的。
首先我們看什麼是腦梗死?
由於腦血管閉塞,引起供血區的腦細胞缺血、水腫、壞死,從而出現一系列臨床症狀,常見症狀有頭痛,眩暈,失語,噁心,嘔吐,口角歪斜、流涎、肢體無力或活動不靈等。
一般治療越早,效果越好。
而在腦梗死超急性期CT檢查不出來,磁共振可以診斷,但磁共振掃描時間長(需要平臥15分鐘以上),這類病人常常表現煩躁,無法配合檢查,而CT只需要十幾秒鐘。
這種時候急診CT的作用:
1.可以除外腦出血,醫生結合症狀診斷,可以在6小時內做針對性抗凝、溶栓治療,大約30%的病人可以成功溶栓,明顯降低腦梗死的併發症。
2.CT可以發現一些腦梗死的早期徵象。

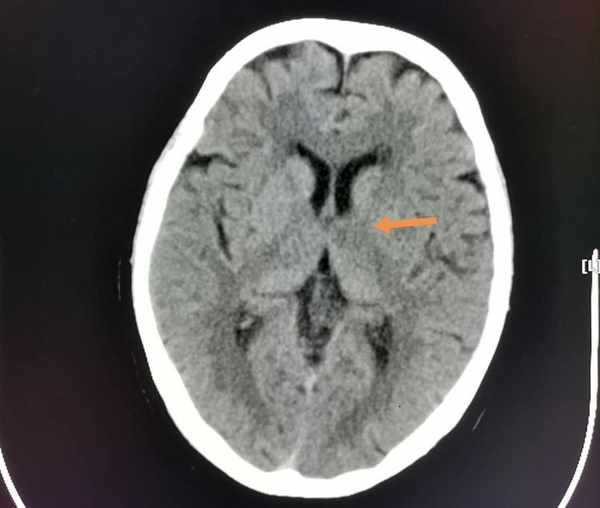
像這位69歲老太太,頭疼、右側肢體發麻無力,急診CT排除了腦出血,同時發現左側丘腦和內囊密度略减低,提示腦梗死。
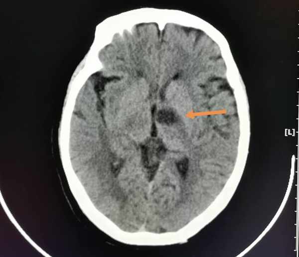
5天后複查,更典型了:

這種小範圍腦梗死(腔隙性腦梗死),治療效果一般都很好。

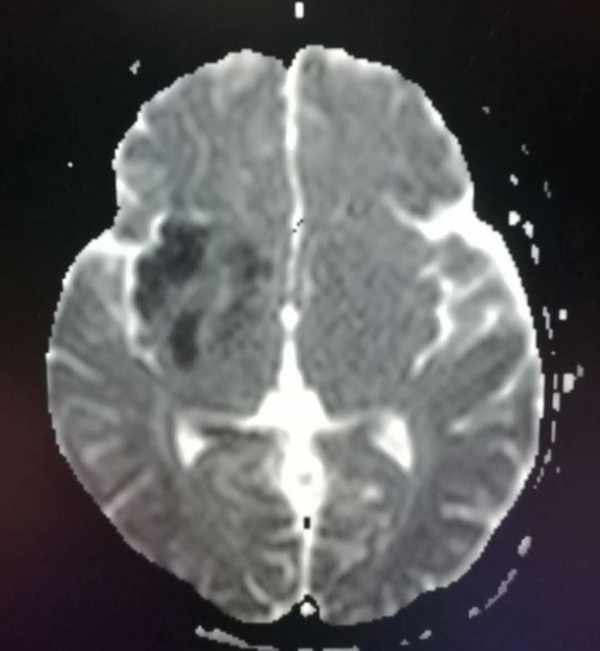
這位62歲的病人,淩晨被家人發現昏迷,急診CT發現右側大腦中動脈密度增高,呈緻密征,提示右側大腦中動脈急性腦梗死。
8小時後病情穩定下來,磁共振明確診斷,同時明確了梗死範圍:

腦血管病的早期診斷和及時治療很關鍵,醫生會根據病情變化權衡利弊,選擇適宜的檢查。
最近幾年,很多醫療器械公司在攻關,想把磁共振的檢查時間降到數分鐘內,如果真的實現,由於磁共振沒有輻射,對人體更安全,也許會有更廣闊的使用空間。