相信不少人對腦梗都不陌生,腦梗是一種嚴重的血管疾病,與腦出血統稱為中風。
腦梗,是由於大腦中血管出現堵塞,使血液和氧氣供應异常,導致腦組織缺血性損傷。

血管出現堵塞,並不是一朝一夕會形成的。隨著年齡的增長,血管內的''廢物''會越來越多,長期累積在血管中,血管壁會受到損傷,出現炎症等反應,血流會减慢,血栓逐漸發生,使得血管嚴重堵塞。
臨床研究表明,當血管堵塞小於70%時,人體通常沒有任何感覺。當堵塞超過70%時,身體開始出現各種不適,但這時一定要警惕,這表明血管堵塞已經很嚴重了。

43歲的羅先生早上起床上廁所時,突然發現自己講話困難,身體的右側無法移動,他只能活動左側身體,還沒能給妻子求救訊號,就昏了過去。
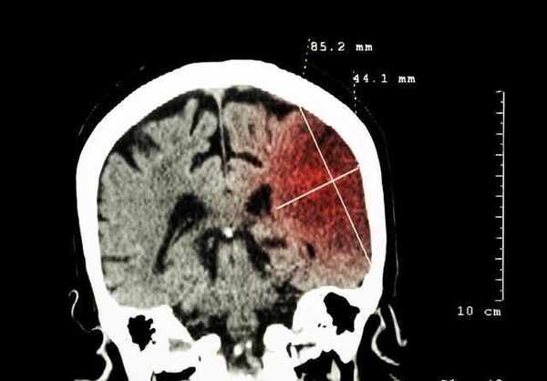
妻子看到時,立即撥打120救護車,這時已經過去很久了。醫生到達後,初步診斷是腦血管疾病。當到達醫院後,檢查了腦CT,果然如醫生所言,診斷結果為急性腦梗塞!

醫生立即進行了靜脈溶栓治療,但由於羅先生腦血管堵塞嚴重,耽擱時間過長。搶救過程中很驚險,家屬隨即接到病危通知書。
溶栓治療後約2小時,羅先生病情得到緩解,意識逐漸覺醒,四肢肌力也在慢慢恢復。病情好轉後,就被轉到住院部。
在此期間,對羅先生進行了腦血管造影,發現羅先生在腦血管已嚴重狹窄。幸好及時送到醫院,否則很可能危及生命。

在瞭解患者情况後,醫生直言:這種''習慣''已經害了不少人,那就是吸烟,而排便時吸烟,對身體的傷害更嚴重!
平時羅先生的身體很健康,沒有明顯的疾病徵兆。但是他非常喜歡吸烟,幾乎每天會吸兩包烟。尤其是在工作壓力大時,吸烟量更大,也沒有定期體檢的習慣,這才導致突發腦梗,讓人措手不及。

吸烟等於慢性自殺!
吸烟對身體造成的損傷,很多人會不以為然。然而資料顯示,與非吸烟者相比,吸烟者患癌症和心血管疾病的死亡率高出90%。
吸烟是中風的獨立危險因素。據報導,吸烟者中風的風險是非吸烟者的2-3.5倍;如果吸烟和高血壓同時發生,中風的風險會新增近20倍。

吸烟會使人上癮,主要與其含有的尼古丁成分有關,會刺激大腦的中樞神經系統並刺激多巴胺的分泌。
長期大量吸烟者,大腦皮層活動的興奮和抑制過程的平衡被打破,植物神經會出現功能失調,這會造成注意力分散,思考不集中,疲勞,失眠,記憶力減退,手麻等神經衰弱症狀。

吸烟會新增血液粘度,心腦動脈痙攣,新增血液中膽固醇的含量,加快動脈硬化,並誘發冠心病和中風。
需要格外提醒的是:排便時吸烟對身體更有害!
1,加重心腦血管疾病
廁所中有許多細菌,氨濃度高,氧含量低。在低氧狀態下,香烟會產生更多的二氧化硫,一氧化碳等,與廁所中的有毒氣體和致病菌一起被吸入肺部,這對身體更有害。

專家指出,在廁所吸烟的冠心病患者,可引起心絞痛和急性心梗發作。
2,容易出現便秘
在廁所吸烟會新增體內尼古丁的含量,從而减弱腸道蠕動。如果長時間依賴吸烟排便,一旦缺乏尼古丁的刺激,腸蠕動會迅速减慢,很容易導致便秘發生。

3,誘發呼吸系統疾病
在廁所吸烟會新增空氣中氨的含量,氨對人體有很大的刺激作用。如果上呼吸道受到刺激,抵抗力會下降,從而新增呼吸系統疾病的患病率。

4,殺精,减少受孕機會
香烟中的尼古丁會减少性激素的分泌,從而减少精子的數量,從而减少受孕的機會。
此外,吸烟還可引起睾丸損傷,男性性功能障礙。
保護血管,預防腦梗,做好三件事!
一、少放鹽,控制血壓
鹽是烹飪時不可或缺的調味品,但也需要控制攝入量。食鹽攝入過多,容易造成血壓升高,而高血壓也是中風的危險因素。
為了更好地控制鹽的攝入量,最好使用限鹽勺。

建議每人每天成人的鹽攝入量不超過6克,高血壓患者不超過4克。
二、加强鍛煉,促血液迴圈
適量的運動可以促進體內血液迴圈,加快體內廢物的排出,增强血管的彈性。
運動還可以改善心肺功能和肺活量,有利於控制體重,避免肥胖。
在運動時最好選擇有氧運動,建議每次運動至少30分鐘,並堅持每週至少3-5次,效果會更明顯。

三、保證睡眠,少熬夜
睡眠品質好,不僅可以舒緩身體的臟器,還可以延緩衰老。
一般來說,晚上的休息時間是大腦修復的時間,保證睡眠時間和質量,更有利於保護大腦。
建議在晚上11點之前入睡,最遲不超過12點,並確保每天睡6-8小時。
