原創 84歲大爺斑塊消失,他把血管變乾淨的2個方法,連醫生也讚歎
admin
2021-10-03 11:36:36

原標題:84歲大爺斑塊消失,他把血管變乾淨的2個方法,連醫生也讚歎

隨著年齡增長,我們的血管會自然老化,修復能力下降,斑塊也隨之出現。如果有人跟你說:"年紀越大,我的血管越乾淨,斑塊消失了",你會覺得他是騙子嗎?

別急,哈爾濱第一醫院心內科副主任周大亮曾分享一個案例,看完也許你會大吃一驚。

老王,84歲,是一名"資深"高血壓患者。10年前,老王查出冠狀動脈前降支近端狹窄70%。幸運的是,當時老王屬於臨界病變,不需要安裝支架,便採取了保守治療方案。

前不久,老王感冒了,出現明顯的胸悶症狀。感冒好轉後,老王的胸悶症狀沒有減輕,他擔心是心臟問題,於是去醫院找到周主任看病。

瞭解老王的病史後,周主任不排除他有冠脈狹窄加重的情况,建議做冠脈CT或冠脈造影檢查,明確診斷。

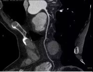
檢查結果出來,周主任看到後十分驚訝——前降支近端狹窄消失了,血管光滑了,斑塊也不見了。周主任仔細觀察各層面的影像,的確沒有發現任何斑塊。

老王現在的片子圖源:周大亮醫生

一、醫生苦想:為什麼血管變乾淨了?

周主任從來沒有遇到過這種情況,他反復跟老王確認,發現老王沒吃過什麼神奇的保健品,也沒有使用偏方,就是多年來一直兩個原則:"堅持按時吃藥"、"堅持控制飲食和鍛煉"。

原來,老王得知自己患上冠心病,冠狀動脈有嚴重狹窄後,就一直按照醫生的訓示服藥,10年期間從來沒有斷過一次,也絕對不會私自新增或减少藥量。同時,他還積極控制飲食,限制肉類的攝入,新增新鮮蔬菜和水果的分量。

為了控制病情,老王還積極運動,每週游泳3次。後來他又把游泳改成步行,每天堅持走路,一走就是10年。就這樣,老王奇迹般地把血管裏的斑塊走沒了,血管變得乾乾淨淨。

二、血管斑塊是什麼?人人都有嗎?

為什麼我們的血管會長斑塊呢?

其實,從我們出生開始,血管上的斑塊就已經在不斷積累了。隨著年齡增長,血壓、血糖、膽固醇、吸烟等因素都會影響斑塊的積累速度和程度,到了一定年紀,每個人或多或少都會出現血管斑塊,只是嚴重程度不同。

北京大學人民醫院心血管疾病研究所所長胡大一教授提醒,血脂异常是心血管病的高危因素之一,對於以下三類人來說,一定要加强血脂管理,以免新增心血管病的風險:

·40歲以上的糖尿病患者,建議40歲後每年定期查尿糖、查血脂;

·高血壓患者,建議儘早通過飲食、運動、戒烟等進行血脂管理;

·他汀類不耐受人群,建議選擇天然調脂管道,養成良好的飲食習慣和生活習慣。

三、讓血管更乾淨的方法,送給你

"三分靠吃藥,七分靠生活管理",周主任分享的案例中,老王的做法就很科學,下麵我們就來看看具體的操作。

1、堅持服藥

血脂名額增高不一定就是高血脂,只要總膽固醇含量在正常值範圍以內,發生心血管疾病的風險就會小很多,就可以暫時不用吃藥。但如果血脂達到要吃藥的水准,就應該在醫生的指導下治療。

現時,臨床上最常用的藥物是他汀類藥物,適用人群廣,除了高血脂患者,冠心病患者、腦中風患者也能使用。

需要注意的是,他汀藥分為短效和長效

·短效他汀藥,比如辛伐他汀、洛伐他汀、普伐他汀等,半衰期1.2小時,服藥後很快見效,儘量在晚上服用。

·長效他汀藥,比如阿托伐他汀,半衰期長達14小時,每天服用一次即可,服用時間沒有限制,早晚都可以。

他汀藥需要長期服用,切忌隨意停藥,以免突發重大心血管疾病。

2、飲食管理

飲食與冠心病風險密切相關,尤其是肉類、乳製品、水果、蔬菜、咖啡、血糖指數、膳食纖維等。

適量攝入新鮮水果,可以降低心腦血管疾病風險;紅肉、加工肉、含糖飲料攝入新增,全穀物攝入减少,與冠心病風險和總死亡率新增有關。囙此在飲食方面,應做到:

(1)新增新蔬果、全穀物的攝入,限制紅肉、加工肉、含糖飲料攝入,避免飲食過於單一,應包括禽肉、魚肉、豆類、低脂乳製品、堅果等食物。< /p>

(2)控制飽和脂肪的攝入,比例保持在5%~6%即可,同時避免攝入反式脂肪。

(3)口味清淡,不吃高鹽食品,限制鈉攝入,每日攝入量不宜超過2.4g。

3、堅持鍛煉

適度鍛煉以改善血脂、降低血壓,預防超重和肥胖,减少糖尿病風險。運動貴在堅持,建議每週進行3~4次中至高强度運動,每次運動時間在30分鐘以上。

4、定期檢查

建議40歲以上健康人群每年進行一次血脂檢測。

對於已經確診動脈粥樣硬化的患者以及高危人群,建議將檢查間隔縮短至3-6個月。

首次服用降脂藥的患者,應在6周內複查肝腎功能等名額。若後續病情穩定,可將檢查間隔改為6個月~1年。

具體多久檢查一次,要視患者的情况而定,謹遵醫囑。

當然,要想血管乾乾淨淨,戒烟戒酒是非常必要的,吸烟飲酒會讓血管提早老化,你學到了嗎?

參考資料:

[1]冠脈狹窄70%消失的"偏方":給我們的思考…….周大亮醫生,醫藥衛生人才.2019-03-16

[2]血管斑塊有辦法去掉嗎?.阜外說心臟.2019-08-26

[3]心血管疾病生活方式管理指南,涉及方方面面,必須收藏!.醫學界心血管頻道.2020-11-21

未經作者允許授權,禁止轉載

相关内容

热门资讯

冬天多吃这菜!一护眼,二养颜,... 一、菠菜肉丸汤 二、番茄菠菜牛肉汤 三、菠菜虾皮鸡蛋汤 四、菠菜炒鸡蛋 五、凉拌菠...
秋冬必学!4种煮苹果配方,润燥... 冬季天气干燥,人口干舌燥、大便干结,本质是“津液不足”导致脾胃功能减弱——吃进去的食物难消化,堆积在...
原创 比... 天儿一冷,家里餐桌上总少不了那些热乎乎、暖呼呼的吃食。芋头、红薯、山药轮番上阵,炖汤煮粥烤着吃,怎么...
肠胃性感冒饮食分享肠胃性感冒第... 肠胃性感冒饮食分享 肠胃性感冒第六天 一天比一天好呀,越来越有食欲了,一锅饭菜里面加了烤五花肉和...
原创 南... 冬至将至,南宁的街头巷尾早已弥漫着节日的温情气息。作为“冬至大如年”的重要传统,这里的人们以美食寄托...