人們通常所說的肝癌,是原發性肝癌的簡稱,而原發性肝癌則大多數是指肝細胞癌。由於肝臟的惡性腫瘤缺乏特异性的臨床表現,經常會被延遲診斷,所以發現肝癌以後,大多數患者已經處於肝惡性腫瘤晚期,預後一般較差。

肝惡性腫瘤大多數發生在肝硬化的基礎上,有慢性乙肝和C型肝炎病毒感染流行的區域,肝癌是比較常見的惡性腫瘤。定期複查甲胎蛋白、影像學(指B超、CT等有影像的檢查手段)等檢查,對肝癌進行篩查,能够早期發現肝惡性腫瘤。
對於其中的一些局限於肝臟的小肝癌,可通過射頻消融、栓塞等相應的治療手段,有望取得良好的療效,一小部分患者通過外科切除和肝移植,甚至還可以獲得治癒。

從病情發展的先後順序來看,肝惡性腫瘤可以看成是肝硬化的併發症。不過,也有少部分人即使沒有慢性肝炎和肝硬化,也有可能因為乙肝病毒DNA綜合入人的肝細胞的基因組,而發生惡變。
除了乙肝和C型肝炎之外,血色病、酒精性肝硬化以及其他原因導致的肝硬化,同樣了可以發生肝惡性腫瘤。環境中的致癌物質,比如攝入帶有黃麴黴毒素的食物,被認為與亞熱帶肝細胞惡性腫瘤的高發病率有關。

那麼,肝硬化和肝惡性腫瘤的關係如此密切,從肝硬化到肝惡性腫瘤的發展,身體會發出哪些訊號呢?
01
原有症狀加重
其中,最最關鍵的訊號,是原本穩定的肝硬化患者,出現右上腹不適、疼痛、體重不明原因的下降,或者右上腹可觸及到腫塊,以及無法解釋的病情惡化、腫瘤壞死組織吸收引起的發熱,等等。
02

急腹症
有一部分患者,他們的肝癌是以急腹症而入院的。主要是因為肝的惡性腫瘤破裂出血引起的血性腹水、休克和腹膜炎。如果有肝區不適的肝惡性腫瘤患者,醫生仔細聽診可能還會聽到肝臟的摩擦音或者雜音。
03

代謝紊亂的表現
全身代謝性的併發症,作為肝惡性腫瘤的一個腫瘤訊號,越來越受到人們的重視。那是因為肝臟的腫瘤細胞或者肝癌所影響到的細胞自己能分泌,或者刺激人體分泌一些激素,導致頑固性的低血糖、紅細胞增多、高鈣血症和高脂血症,等等。
04

常規體檢异常
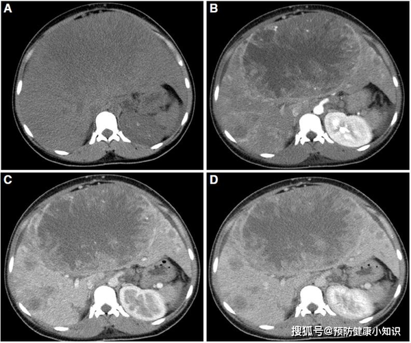
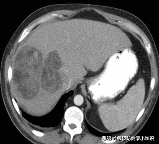
在日常體檢方面,主要依賴於甲胎蛋白、CT、B超和磁共振來追尋肝惡性腫瘤出現的一些蛛絲馬跡。
甲胎蛋白的升高,意味著肝細胞的逆向分化,大多數情况下提示肝細胞癌。大約有45%~65%的肝細胞癌,會出現甲胎蛋白升高,大多數大於400μg/L。

其他的血液檢查,如甲胎蛋白異質體和脫-γ-羧基凝血酶原等等,也可作為肝細胞癌早期診斷的標誌物。
影像學檢查包括增强CT、超聲和磁共振,對於難以確診的病例,肝血管造影可能有助於診斷。如果影像學有特徵性的表現,且抱伴有甲胎蛋白升高,診斷可以明確。必要的時候,可以在超聲或CT引導下做肝活檢,以進一步明確診斷。
05

小結
從肝硬化到肝惡性腫瘤,這是一個漫長的由量變到質變的過程,這說明肝惡性腫瘤不是一朝一夕形成的。肝惡性腫瘤一開始出現的症狀,都是不典型的,當原有症狀突然莫名其妙的加重的時候應該引起重視。
腹脹和肝區的不適,是非常重要的自我感覺,但是受心理因素的影響很大。如果出現頑固的消化的道症狀和體重下降,同時又有甲胎蛋白的升高,或者出現一些原來沒有的代謝异常的表現,比如頻繁的低血糖和高鈣血症等,需要進行增强的影像學檢查來確診,必要時做肝穿。
