一、1臭——口臭
口臭的原因有很多種,可能是因為口腔問題,也可能是腸胃不舒服,從而導致消化系統受到影響,最終導致口臭。當然或許還有很多人不知道,其實衰老也會發生口臭。這是因為隨著年齡的增長,人體的器官運作機制也會隨之受到影響,腸胃的消化吸收功能衰退。

當食物進入到人體中之後,由於消化和吸收功能不及時,就無法及時的排出體內的毒素和垃圾,會一直推積在體內,最終導致了口臭。所以,如果早晨起床你沒有口臭的現象,那就說明你現在還年輕,沒有開始衰老。
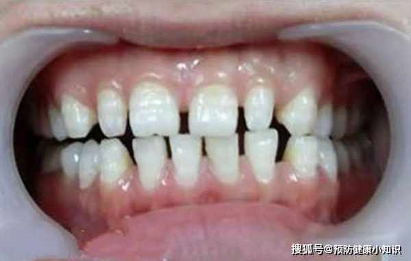
二、2大之一——牙縫變大
如果你有經常剔牙習慣的話,那你可能牙縫就會比平常的人要大,這是因為經常剔牙容易引發炎症,從而導致牙縫逐漸變大。

其實,對於正在衰老的人來說,牙縫也會慢慢變大,就像我們會看到許多的老年人的牙縫幾乎都是有縫隙的。因為人在衰老的過程中其器官也會逐漸的衰退,體內的膠原蛋白等物質會不斷的流失,導致牙齦之間萎縮,最終導致牙縫變大。
2大之二——肚子變大
另一方面是由於人體在衰老的過程中,新陳代謝速率也會逐漸降低,導致脂肪等在腹部不斷推積,最終導致肚子會變大。囙此,如果你的肚子正在變大的話,那就可能表示你正在衰老。在日常生活中,需要養成良好的生活習慣,吃晚飯後可以適當的散散步,也不要經常喝酒等,否則會讓肚子變得更大。

另一方面是由於人體在衰老的過程中,新陳代謝速率也會逐漸降低,導致脂肪等在腹部不斷推積,最終導致肚子會變大。囙此,如果你的肚子正在變大的話,那就可能表示你正在衰老。在日常生活中,需要養成良好的生活習慣,吃晚飯後可以適當的散散步,也不要經常喝酒等,否則會讓肚子變得更大。
三、2小之一——肺活量小
青年人的肺活量是很高的,因為他們精力旺盛,年輕有活力,而隨著年齡的不斷增長,人開始衰老之後,肺活量也會隨之發生變化,會變得越來越小。我們都知道很多老年人無法做强烈的運動,因為一旦運動他們就會喘起來,甚至還會得哮喘等疾病。

對於男性來說,一般45歲之後,其肺活量就會明顯的有所改變,沒有以前那麼有幹勁,甚至做一些體力活的時候感到勞累,體力也在逐漸下降,這都說明人體正在衰老。
2小之二——聽力變差
我們都知道許多的老年人聽力都不是很好,與他們交流時都必須靠近其耳邊大聲的說話,這並不是疾病導致的,而是隨著人的年齡的增長,聽力會逐漸的下降,聽不清楚外界的聲音。

因為人開始衰老的時候,耳朵內部的聽覺系統也會隨之受到影響,耳道會逐漸變窄,耳膜會逐漸變厚,在這種情況下就不容易聽到外界的聲音,聽力會逐漸下降。
很多男性朋友不知道自己是否在衰老,不知道如何鑒別自己是否已經開始衰老。當瞭解了上述的幾個衰老的特徵後,相信大多數的男性就知道了自己是否還年輕,如果你沒有以上幾個特點,那麼恭喜你還很年輕,不需要過度的擔心自己的身體。
如果你有上述的幾個特徵那就說明你可能正在衰老中,但請不要多度的憂愁與焦慮,每個人都不可能永遠年輕,都會隨著年齡的增長而開始衰老,只要保持一顆樂觀積極的心態,衰老就不是問題。